Print this Document   Sitemap   Contact  

Aktive Platten ("Einzelspangen"): regulieren Zähne in jeweils einem Kiefer, erweitern den Zahnbogen und formen ihn aus. Einzelne Zähne werden mithilfe von Federn in die richtige Position gebracht, Lücken geschlossen bzw. geöffnet.
Allgemein sind eher geringe Zahnbewegungen möglich als mit festsitzenden Apparaturen .
Empfohlene Tragezeit : ganztägig sowie nachts, außer zum Essen, Sport etc.

UKplg.JPG

aktive Platte für den Unterkiefer mit seitlichen Schrauben

 

Funktionkieferorthopädische Apparaturen ("Doppelspangen"): z.B. Aktivator, elastisch offener Aktivator, Bionator, Funktionsregler etc.
Die Spange sitzt dabei locker im Mund und ist Trainingsgerät für die Kaumuskulatur. Diese dienen dazu eine funktionsgerechte Verzahnung zu erzielen, indem sie das Wachstum von Ober- und Unterkiefer beeinflussen, d.h. hemmen oder fördern.

Durch grazile Formen der Geräte erreichen wir einen hohen Tragekomfort für unsere Patienten.

Empfohlene Tragezeit : meist nachmittags und nachts

eoa1g.JPG

elastisch offener Aktivator nach Klammt

 
FRIIg.JPG

Funktionsregler nach Fränkel

 
Aktivg.JPG

Aktivator

 

Behandlungen mit durchsichtigen ( "unsichtbaren") Kunststoffschienen beispeilsweise von Invisalign sind auch in vielen Fällen möglich, allerdings besser nach Durchbruch aller bleibenden Zähne also etwa ab 12 Jahren. Sie werden in einem aufwendigen Arbeitsprozess von der Firma Aligntech produziert. Der Patient erhält regelmäßig neue Schienen, die dann jeweils etwa ein bis zwei Wochen lang die Zähne minimal in die gewünschte Richtung bewegen.

KopievonInvisalign2gro.jpg
KopievonInvisalign3gro.jpg
 

Diese Apparatur wird von anderen kaum bemerkt und ist angenehm zu tragen.

KopievonInvisalign1gro.jpg

Patientin mit Invisalign-Schiene im Mund

Behandlung mit festsitzenden Zahnspangen (Multibracketapparatur):
Sie können grundsätzlich bei Kindern, Jugendlichen oder Erwachsenen eingesetzt werden. Nach Durchbruch aller bleibenden Zähne ist eine Behandlung oftmals besser mit festsitzenden Apparaturen durchführbar.

Sie werden für komplizierte Zahnbewegungen benutzt und haben eine wesentlich kürzere Behandlungsdauer als lose Klammern. Sie sind weniger von der Kooperation des Patienten abhängig, erfordern jedoch einen erhöhten Aufwand bei der Mundhygiene.


Es gibt eine Vielzahl von Materialien, die der Behandler zusammen mit Ihnen auswählt. So ist die Behandlung z.B. mit ästhetisch ansprechenderen weißen Brackets aus Keramik oder Kunststoff möglich. Es gibt Minibrackets und selbstligierende Brackets, die besser zu reinigen sind.

mittelgro12.JPG

Multibracket-Apparatur im Unterkiefer mit Keramikbrackets

 
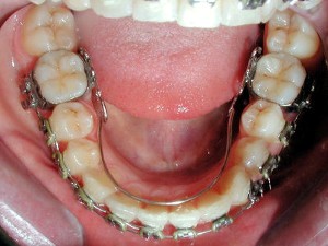
MBgro4.JPG

Multibracket-Apparatur und Lingualbogen im Unterkiefer

 

Eine Hauptaufgabe in der Kieferorthopädie ist die Schaffung von Platz für alle bleibenden Zähne, um Extraktionen zu vermeiden. Eine effektive Möglichkeit dazu ist die sogenannte Pendulum-Apparatur. Diese wird für drei bis sechs Monate fest in den Mund eingesetz, bewegt die letzten Backenzähne weiter nach hinten und schafft so den Raum für die anderen Seitenzähne. Auf diese Art ist eine extraktionsarme Therapie auch ohne Headgear möglich.

Pendulumg.JPG

Pendulum-Apparatur

 

Im Anschluß an die erfolgreiche Regulierung der Zahnstellung erfolgt noch eine Haltephase. In dieser muß sich der gesamte Zahnhalteapparat in der neuen Zahnstellung festigen. Dazu trägt der Patient noch einen sog. Retainer. Dieser kann ähnlich einer Plattenapparatur sein oder die Form eines geklebten Retainers haben. Das ist ein (von außen nicht sichtbares) innen an den Zähnen festgeklebtes Drähtchen.
Da viele Zahnfehlstellungen die Tendenz zum Zurückstellen haben, empehlen wir für lange Freude an den geraden Zähnen einen geklebten Retainer.

mittelgro22.JPG

Kleberetainer

mittelgro32.JPG

Kleberetainer
  von außen nicht zu sehen!